
Sarah, a mother of two, was diagnosed with stage 4 lung cancer with lymph node metastasis. After conventional treatment left her with severe side effects and little hope, she turned to TCM through our platform. This is her journey of resilience, hope, and recovery.
March 15, 2022
"I never thought I would get cancer. The stage 4 lung cancer diagnosis felt like a death sentence. My world fell apart."
Sarah had 4 rounds of chemotherapy and radiation that left her weak, nauseous, and with no appetite. Her doctors told her there was little more they could do.

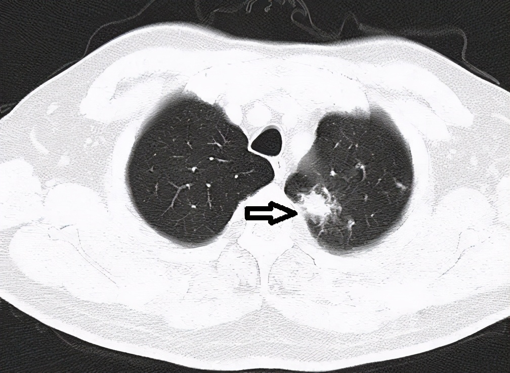
Sarah's lung scan
March 15, 2022
"I never thought I would get cancer. The stage 4 lung cancer diagnosis felt like a death sentence. My world fell apart."
Sarah had 4 rounds of chemotherapy and radiation that left her weak, nauseous, and with no appetite. Her doctors told her there was little more they could do.

Sarah's lung scan
June 20, 2022
"I applied for help through the CancerCura platform, and within 48 hours I got a call from a TCM practitioner."
"The practitioner listened to my whole story, asked about my symptoms, and even wanted to understand my emotional state. It was the first time a healthcare provider treated me as a whole person."

Sarah's first visit to TCM clinic
June 20, 2022
"I applied for help through the CancerCura platform, and within 48 hours I got a call from a TCM practitioner."
"The practitioner listened to my whole story, asked about my symptoms, and even wanted to understand my emotional state. It was the first time a healthcare provider treated me as a whole person."

Sarah's first visit to TCM clinic
July 5, 2022
"My TCM practitioner created a full treatment plan for me. It included herbal formulas, acupuncture, diet changes, and qigong."

Sarah's custom herbal formula
July 5, 2022
"My TCM practitioner created a full treatment plan for me. It included herbal formulas, acupuncture, diet changes, and qigong."

Sarah's custom herbal formula
October 15, 2022
"After three months of TCM and daily check-in, I noticed clear improvement. The tumor had stopped growing."
"My oncologist was shocked. He encouraged me to continue TCM alongside regular monitoring."

Sarah receiving acupuncture
October 15, 2022
"After three months of TCM and daily check-in, I noticed clear improvement. The tumor had stopped growing."
"My oncologist was shocked. He encouraged me to continue TCM alongside regular monitoring."

Sarah receiving acupuncture
March 15, 2023
"One year after diagnosis the tumor had shrunk significantly. I've got my life back. I can play with my kids, cook for my family."
"Don't give up hope. TCM gave me a chance to take back control of my health."

Sarah celebrating recovery
March 15, 2023
"One year after diagnosis the tumor had shrunk significantly. I've got my life back. I can play with my kids, cook for my family."
"Don't give up hope. TCM gave me a chance to take back control of my health."

Sarah celebrating recovery
Sarah's herbal formula focused on clearing heat, resolving phlegm, activating blood circulation, and supporting the body's qi.
Acupuncture was used to ease pain, reduce side effects from conventional treatment, and improve Sarah's overall wellbeing.
Sarah's diet was adjusted to include foods that nourish the lung, clear heat, and support the immune system.
Gentle qigong and breathing exercises helped improve Sarah's lung function and reduce stress.
Sarah Sticking to daily check-in was a key part of her recovery. Here's how the platform supported her.
Your energy is a bit lower than usual. Rest more and try warm ginger tea to support your qi.
Try 4-7-8 breathing: inhale 4 counts, hold 7, exhale 8. It helps reduce stress and support lung function.
You've completed 30 consecutive check-in days and earned 5 health coins. Keep going!
Words from the cancer journey.
「When I was first diagnosed, I felt my life was over. When conventional medicine had little to offer, TCM gave me hope.」
「Daily check-in mattered so much. On some days it was the only thing keeping me going. Seeing my progress, even small improvements, motivated me to keep fighting.」
「TCM doesn't just treat the disease—it heals the whole person. It addressed my physical symptoms, emotional state, and even my spirit.」
「The support from the CancerCura community was beyond words. Connecting with others on the same journey made me feel less alone.」
If you or a loved one is fighting cancer, believe that hope remains. Our TCM experts will create a tailored treatment plan for you.
Read more inspiring recovery stories

"After surgery and chemo, I had severe nausea. TCM herbs helped me regain my appetite and energy. I can enjoy life again now."

"Recurrent breast cancer. TCM combined with Western treatment helped control the disease. I've been stable for over 2 years now."

"After being diagnosed with liver cancer, I was told to prepare for the worst. TCM gave me hope. My latest scan showed the tumor has shrunk significantly."